Phẫu thuật robot cắt phổi biệt lập, tránh nguy cơ tiềm tàng trong lồng ngực

Thứ hai, 02/03/2026, 15:40 GMT+7

Bệnh viện Bình Dân vừa thực hiện thành công trường hợp phẫu thuật robot cắt thùy dưới phổi trái điều trị bệnh lý phổi biệt lập nội thùy. Đây cũng là trường hợp phổi biệt lập được điều trị bằng phẫu thuật robot được báo cáo đầu tiên tại Việt Nam.

Trường hợp lâm sàng hiếm gặp: Phổi biệt lập nội thuỳ

Trường hợp ông N.N.T (56 tuổi, Tây Ninh) là một tình huống hiếm gặp. Ông tình cờ phát hiện tổn thương thùy dưới phổi trái khi đi khám tổng quát. Tại Bệnh viện Bình Dân, các bác sĩ chẩn đoán ông mắc phổi biệt lập nội thùy với khối kích thước 23 mm × 26 mm. Đáng chú ý, động mạch nuôi khối này xuất phát trực tiếp từ động mạch chủ xuống với đường kính lên tới 17 mm – một kích thước rất lớn và đầy rủi ro nếu người bệnh không được điều trị.

Hình minh họa phổi biệt lập nội thùy - ILS

Hình minh họa phổi biệt lập nội thùy (ILS)

Hình minh họa phổi biệt lập nội thùy - ILS

Hình minh họa phổi biệt lập ngoại thùy (ILS)

ThS.BSCKII. Nguyễn Văn Việt Thành – Trưởng khoa Ngoại Lồng ngực – Bướu cổ, Bệnh viện Bình Dân, người trực tiếp thực hiện ca mổ cho biết: “Khó khăn lớn nhất là phẫu tích nhánh động mạch nuôi này. Mạch máu này to, dễ vỡ và rất dính do tình trạng nhiễm trùng mạn tính xung quanh. Một sai sót nhỏ cũng có thể dẫn đến biến cố chảy máu không thể kiểm soát”.

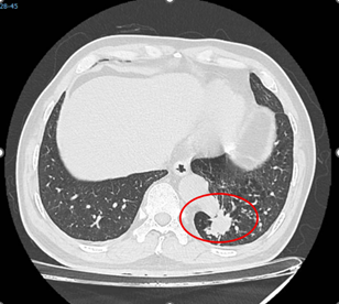
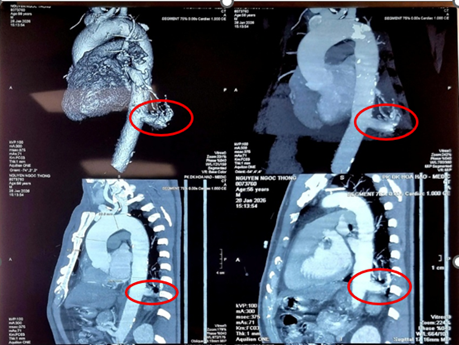
Hình: MSCT ngực cho thấy phổi biệt lập nội thùy trong thùy dưới phổi trái, có nhánh mạch máu nuôi lớn xuất phát từ động mạch chủ ngực. (Nguồn: Bệnh viện Bình Dân)

Hình: MSCT ngực cho thấy phổi biệt lập nội thùy trong thùy dưới phổi trái, có nhánh mạch máu nuôi lớn xuất phát từ động mạch chủ ngực. (Nguồn: Bệnh viện Bình Dân)

Trước thách thức đó, hội chẩn toàn viện đã quyết định lựa chọn phẫu thuật robot – công nghệ ngoại khoa tân tiến nhất hiện nay.

Lựa chọn phẫu thuật robot: tối ưu an toàn và hiệu quả điều trị

Trong nhiều thập kỷ, phẫu thuật mở với rạch đường lớn ở ngực, phải banh sườn khi thao tác cắt một phần phổi từng được thực hiện. Sau đó, nội soi lồng ngực kinh điển ra đời giúp giảm xâm lấn. Tuy nhiên, với một bệnh lý đòi hỏi sự tỉ mỉ “đến từng milimet” như phổi biệt lập, phẫu thuật robot vào lồng ngực cho thấy những ưu thế vượt trội so với  phương pháp cũ:

  • Hình ảnh 3D rõ nét: Robot phẫu thuật cung cấp hình ảnh phóng đại gấp nhiều lần với độ phân giải cao và chiều sâu không gian 3D. Điều này cho phép bác sĩ nhận diện rõ ràng các nhánh mạch máu bất thường nằm sâu trong các ngóc ngách khó tiếp cận của lồng ngực.
  • Cánh tay linh hoạt “hơn tay người”: Các cánh tay robot có khả năng xoay 720 độ, cử động linh hoạt vượt xa các dụng cụ nội soi thẳng và cứng. Điều này cực kỳ quan trọng khi cần khâu buộc hoặc kẹp clip các mạch máu lớn sát động mạch chủ.
  • Độ chính xác tuyệt đối: Hệ thống robot phẫu thuật có khả năng lọc bỏ những rung động tự nhiên của tay người, giúp các thao tác bóc tách trở nên tinh vi, hạn chế tối đa tổn thương mô lành xung quanh.

Do đó, người bệnh và bác sĩ thống nhất lựa chọn phương pháp phẫu thuật robot để thực hiện cắt phần phổi bệnh lý. Ngày 12/2/2026, ThS.BSCKII. Nguyễn Văn Việt Thành – Trưởng khoa Ngoại lồng ngực – Bướu cổ, Phó chủ nhiệm Bộ  môn Ngoại khoa Trường Đại học Y khoa Phạm Ngọc Thạch trực tiếp thực hiện. Ca phẫu thuật diễn ra trong khoảng 120 phút và thực hiện suôn sẻ theo đúng kế hoạch: phần phổi biệt lập được cắt trọn mà không tổn thương động mạch chủ ngực xuống, không có biến chứng chảy máu.

Vì không phải banh sườn và các lỗ trocar rất nhỏ, người bệnh ít đau hơn rất nhiều, giảm mất máu và rút ngắn thời gian nằm viện. Minh chứng là ông T. đã hồi phục nhanh chóng và được xuất viện sớm chỉ sau mổ 4 ngày.

Hình: Các bước chính trong phẫu thuật robot cắt phổi biệt lập cho người bệnh T. (Nguồn: Bệnh viện Bình Dân)

Hình: Các bước chính trong phẫu thuật robot cắt phổi biệt lập cho người bệnh T. (Nguồn: Bệnh viện Bình Dân)

Phổi biệt lập: mối nguy tiềm tàng trong lồng ngực

Phổi biệt lập (Bronchopulmonary Sequestration - BPS) là một dị tật bẩm sinh hiếm gặp, chỉ chiếm khoảng 0,15% đến 6,4% các dị tật phổi. Có 2 dạng phổi biệt lập: phổi nội thùy (75%) và ngoại thùy (25%). Vị trí thường gặp của phổi biệt lập thường ở thùy dưới phổi trái. Hiểu một cách đơn giản, đây là một phần mô phổi “dư thừa” phát triển bất thường từ thời kỳ phôi thai. Nó không có chức năng hô hấp và không thông với đường dẫn khí bình thường.

Đặc điểm nguy hiểm nhất của phổi biệt lập chính là nguồn máu nuôi dưỡng. Thay vì nhận máu từ động mạch phổi như bình thường, khối mô này lại “ăn bám” trực tiếp vào các động mạch hệ thống – thường là động mạch chủ ngực hoặc động mạch chủ bụng. Nếu không được phát hiện và điều trị kịp thời, khối phổi biệt lập này có thể làm người bệnh tử vong bất cứ lúc nào. Áp lực máu cực cao từ động mạch chủ đổ vào các mạch máu nhỏ, yếu ớt của khối biệt lập có thể gây ra những biến chứng kinh hoàng như:

  • Ho ra máu sét đánh hoặc xuất huyết nội: Vỡ mạch máu nuôi khối biệt lập dẫn đến chảy máu ồ ạt vào khoang màng phổi hoặc đường thở, đe dọa tính mạng chỉ trong tích tắc.
  • Nhiễm trùng tái phát và áp xe phổi: Do không có đường dẫn lưu, dịch tiết tích tụ biến khối phổi này thành “ổ vi khuẩn”, gây viêm phổi tái đi tái lại tại một vị trí cố định.
  • Suy tim: Luồng thông máu (shunt) bất thường từ động mạch chủ về tim có thể gây quá tải, dẫn đến suy tim cung lượng cao. Biến chứng này có thể gặp ở trẻ sơ sinh và trẻ nhỏ.
  • Thoái hóa ác tính: Dù hiếm, nhưng y văn thế giới đã ghi nhận các trường hợp ung thư phát triển ngay trên nền mô phổi biệt lập không được phát hiện kịp thời.

Hình: Người bệnh có thể đi lại từ ngày hậu phẫu thứ nhất (Nguồn: Bệnh viện Bình Dân)

Lời khuyên chuyên gia

Dù là bệnh lý bẩm sinh hiếm gặp với tỷ lệ nam giới mắc cao gấp 3 lần nữ giới, phổi biệt lập hoàn toàn có thể được điều trị dứt điểm nếu phát hiện sớm. Phẫu thuật là cách điều trị duy nhất, đặc biệt là khi chưa xảy ra biến chứng nhiễm trùng hay chảy máu.

Bên cạnh đó, hiệu quả điều trị còn phụ thuộc vào sự phối hợp của nhiều chuyên khoa liên quan như gây mê hồi sức, chẩn đoán hình ảnh và phẫu thuật mạch máu. Do đó, những trường hợp phẫu thuật hiếm và khó như trường hợp nêu trên cần được thực hiện tại các bệnh viện ngoại khoa chuyên sâu để đảm bảo an toàn phẫu thuật.

Với sự thành công của ca mổ robot đầu tiên điều trị phổi biệt lập tại Bệnh viện Bình Dân, người dân Việt Nam hiện nay đã có thể tiếp cận với công nghệ y khoa hàng đầu thế giới ngay tại trong nước. Phẫu thuật robot không chỉ dừng lại ở một bước tiến công nghệ, mà còn là lời cam kết về sự an toàn và chất lượng sống tốt nhất cho người bệnh.

Nếu một người có các triệu chứng như viêm phổi tái diễn tại một vị trí, ho ra máu hoặc tình cờ phát hiện khối bất thường ở phổi, hãy đến các cơ sở y tế chuyên sâu để được tầm soát. Chẩn đoán hình ảnh như MSCT có thể phát hiện phần phổi biệt lập.

TRẦN NHUNG - VĨNH PHƯỚC

Tổ Truyền thông Bệnh viện Bình Dân